Restore Digestive Health. Prevent Intestinal Damage.

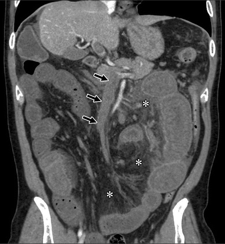
Mesenteric Artery Disease occurs when the arteries supplying blood to your intestines become narrowed or blocked, usually due to atherosclerosis (plaque buildup). This condition can cause abdominal pain after eating, unintended weight loss, and, in severe cases, life-threatening bowel damage due to reduced blood flow.

At Prime Vascular Care, Dr. Vishal Sheth offers expert evaluation and advanced treatments to restore proper blood flow and relieve symptoms. With over a decade of vascular expertise, he ensures accurate diagnosis and timely intervention to protect your digestive system and overall health.

Symptoms of Mesenteric Artery Disease

  • Severe abdominal pain, especially after meals

  • Nausea or vomiting

  • Weight loss without trying

  • Diarrhea or constipation

  • In advanced cases, signs of intestinal ischemia (a medical emergency)

Risk Factors

  • Atherosclerosis

  • Smoking

  • High blood pressure

  • High cholesterol

  • Diabetes

  • Age over 60


Diagnosis & Treatment Options

  • Duplex Ultrasound, CT Angiography, or MR Angiography for precise vessel imaging

  • Lifestyle modifications and medications for mild disease

  • Angioplasty and stenting to open narrowed arteries using a catheter-based procedure

  • Bypass surgery in complex or emergency cases

Early treatment can save your intestines—and your life. Book a vascular consultation today.

Contact us now

Why Prime Vascular Care?

At Prime Vascular Care, we combine expert leadership, advanced technology, and a patient-first approach to deliver comprehensive vascular solutions under one roof. Led by Dr. Vishal Sheth, our center is known for its high success rates, personalized treatments, and compassionate care trusted by 900+ patients.

Expert Leadership

Led by Dr. Vishal Sheth, a highly experienced vascular specialist with 10+ years of surgical and interventional expertise.

Comprehensive Vascular Solutions

From diagnosis to advanced treatment, we offer complete care for all vascular conditions under one roof.

Advanced Technology

Equipped with state-of-the-art diagnostic tools and minimally invasive surgical equipment for safe, precise care.

Patient-Centered Approach

We focus on personalized treatment plans, patient education, and compassionate care for all age groups.

High Success Rates

Proven track record with 900+ satisfied patients and consistently excellent outcomes in complex vascular procedures.

Our team

Parag Sutaria, Director

With over 30 years of experience in accounting, Parag brings extensive experience collaborating with accountants across regions, including two decades in the UK and the US, as well as in outsourcing. His practical skills cover bookkeeping, VAT, management accounts, and year-end processes. As a former VP leading a large team, Parag is a Master of Commerce, Lean Six Sigma Green Belt certified, and proficient in Xero and QuickBooks, with a commitment to process improvement.

Himanshi Sonecha, Director

Himanshi is a highly accomplished accountant with over 16 years of experience across the Indian, UK, and US accounting industries. Her B2B and B2C experience, from early roles to KPO management, showcases operational excellence and high customer satisfaction. A Lean Six Sigma Green Belt, Xero Advisor Certified, and QuickBooks Online (QBO) Certified, Himanshi optimises financial processes with technology, delivering tailored, high-impact solutions.

Our team

Parag Sutaria, Director

With over 30 years of experience in accounting, Parag brings extensive experience collaborating with accountants across regions, including two decades in the UK and the US, as well as in outsourcing. His practical skills cover bookkeeping, VAT, management accounts, and year-end processes. As a former VP leading a large team, Parag is a Master of Commerce, Lean Six Sigma Green Belt certified, and proficient in Xero and QuickBooks, with a commitment to process improvement.

Himanshi Sonecha, Director

Himanshi is a highly accomplished accountant with over 16 years of experience across the Indian, UK, and US accounting industries. Her B2B and B2C experience, from early roles to KPO management, showcases operational excellence and high customer satisfaction. A Lean Six Sigma Green Belt, Xero Advisor Certified, and QuickBooks Online (QBO) Certified, Himanshi optimises financial processes with technology, delivering tailored, high-impact solutions.